Každý rok u nás lékaři diagnostikují přes 7000 nových případů karcinomu prsu, přibližně 1600 žen pak onemocnění podlehne. Ve věkové kategorii 20–55 let je tento typ rakoviny dokonce nejčastější příčinou úmrtí žen.

Tak jako u spousty jiných nemocí, je i v tomto případě klíčová prevence, která významně zvyšuje pravděpodobnost úspěšné léčby. Na preventivní vyšetření svým klientkám přispívá i Zdravotní pojišťovna ministerstva vnitra ČR.
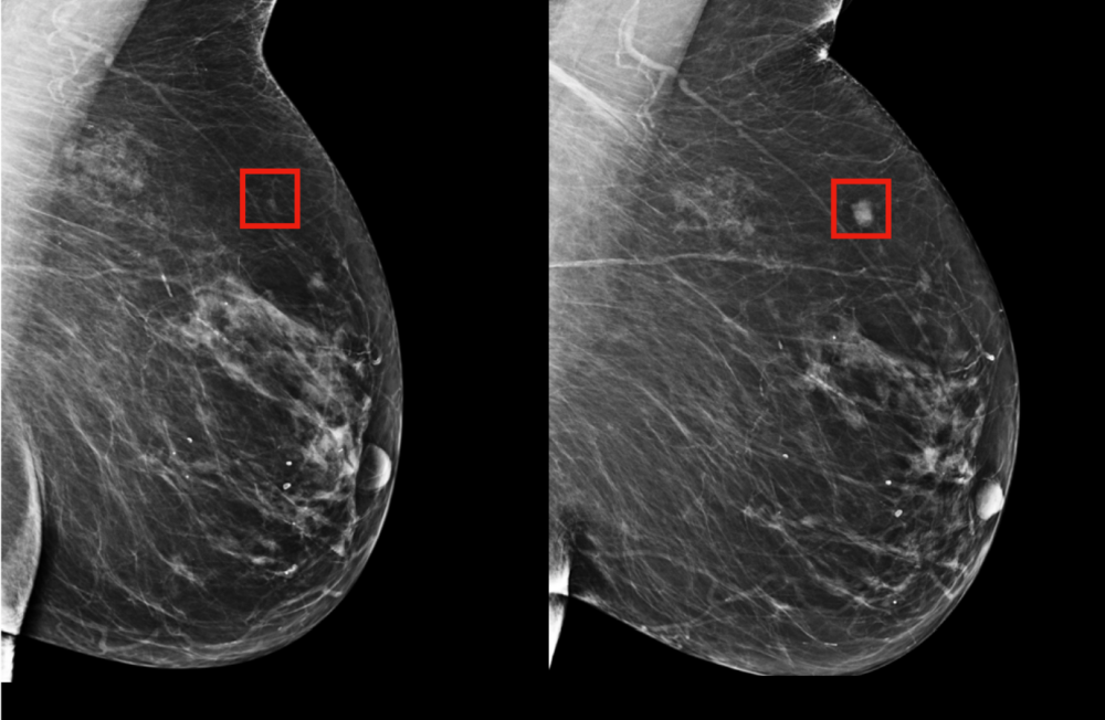
Mamograf odhalí nádor již v počátcích
Velmi účinným způsobem, jak nemoc odhalit, je pravidelné samovyšetření prsů. Doporučuje se provádět ho alespoň jednou měsíčně.
Naprosto stěžejním vyšetřením je pak mamografický screening. Ten dokáže zobrazit patologické změny ve struktuře prsu, signalizující růst nádoru menšího než jeden milimetr. Tedy ve stadiu, kdy jej ještě nelze zjistit ani pohmatem.

Mamografický screening probíhá v České republice již od roku 2002. Díky němu mají všechny ženy starší 45 let jednou za dva roky nárok na pravidelné preventivní vyšetření, které je plně hrazeno z veřejného zdravotního pojištění.
Zdravotní pojišťovna ministerstva vnitra ČR ale na toto vyšetření ze svého programu prevence onkologických onemocnění přispívá i mladším ženám. „Příspěvek do výše 500 Kč na mamografické vyšetření poskytujeme našim klientkám ve věku od 40 do 45 let.
Tuto částku je možné čerpat rovněž na ultrazvukové vyšetření prsu, a to už bez omezení věku. Mohou jej tedy využít i ženy a dívky mladší 40 let,“ říká Hana Kadečková, tisková mluvčí ZP MV ČR.
Včasná diagnóza – vyšší šance na vyléčení
Včasná diagnóza výrazně zvyšuje šanci na úspěšnou léčbu. V počátečním stadiu nemoci lze nádor odstranit šetrnou operací, kdy se odebere jenom malá část tkáně.
V pokročilých fázích je ovšem léčba mnohem radikálnější a většinou ji provází radioterapie, chemoterapie a rozsáhlejší chirurgický zákrok. „Léčba jedné pacientky s touto diagnózou vyjde ročně v průměru na 36 tisíc korun.
Zdravotní pojišťovna ministerstva vnitra ČR v loňském roce evidovala 6 244 pacientek s karcinomem prsu a na jejich léčbu vydala téměř 225 milionů korun,“ říká Hana Kadečková.

Nádor, který není dlouho poznat
Karcinom se v prsu vytváří z abnormálních rakovinných buněk, které se vymkly kontrole. Pokud se nezačne s léčbou včas, mohou se tyto buňky šířit do okolních uzlin a metastázovat.
Nádor odhalený v raném stádiu je ale dobře léčitelný, a až v 90 % případů je prognóza uzdravení příznivá.
Největší nebezpečí rakoviny prsu spočívá v tom, že nemusí být v počátečních stádiích nijak zjevná, a lze ji tak snadno přehlédnout. Většina žen si navíc myslí, že projevem nemoci je pouze bulka v prsu. Existuje ale celá řada dalších příznaků.
Nádor může například způsobit zploštění či vtažení bradavky, jeden prs se může netypicky zvětšit, ztuhnout nebo zrudnout. Rakovinu prsu může signalizovat i výtok či krvácení z bradavky nebo například změny připomínající ekzém.
