Ačkoli paradentóza představuje široce rozšířené infekční onemocnění postihující přibližně 30 % světové populace, kromě prevence zatím pro pacienty není k dispozici žádná účinná léčba.

Společnost PerioTrap Pharmaceuticals, dceřiná společnost Fraunhofer IZI, vyvinula novou metodu léčby, která umožňuje specifické vymýcení hlavních bakteriálních patogenů paradentózy, a tedy i řešení těžkého stádia tohoto onemocnění.
Výzkum s pomocí české investiční biotech společnosti i&i Prague a zahraničních venture kapitálových fondů zajistí financování pro pokračování vývoje tohoto léčiva.
Počáteční investice umožní společnosti pokrýt náklady na nutné fáze vývoje, klinické testování a pro následné uvedení na trh.
Zdravé zuby jsou důležité
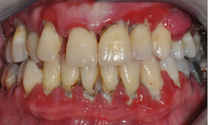
Paradentóza je závažné chronické onemocnění, které dnes v České republice postihuje téměř každého dospělého člověka.
Její příčinnou je působení mikroorganismů, jejichž množení podporuje zubní plak a zubní kámen a které v konečném důsledku může vést až ke krvácení dásní a vypadávání zubů.
V současné době neexistuje žádný prostředek, kterým by bylo možné tyto mikroorganismy hubit, jedinou cestou, jak se paradentóze bránit, tak zůstává prevence a důsledná hygiena.

Pro Českou republiku je nová metoda významná zejména díky finančnímu zapojení českého biotech inkubátoru i&i Prague, který do pokračování vývoje tohoto léčiva investoval 200 tisíc EUR. Pro společnost, která se zaměřuje na podporu projektů v biotech oblasti, se jedná o první krok mimo brány ČR a dokazuje tím, že Praha patří ke špičce evropských měst, co se týká inovací a výzkumu.
„i&i Prague dlouhodobě podporuje vědecké start-upy napříč Českou republikou.
PerioTrap je vůbec prvním projektem, do kterého investujeme mimo ČR, neboť zapadá do našeho portfolia kvalitou technologie, a zároveň nám pomáhá prohlubovat mezinárodní spolupráci, z jejíchž výhod těží všechny námi podporované projekty,“ říká ředitel biotech inkubátoru Jaromír Zahrádka.
Inovativní přístup
Díky novému léku a inovativnímu postupu aplikace by společnost PerioTrap mohla nejen drasticky snížit potřebu antibiotik, ale navíc předcházet řadě velmi závažných komplikací, snižujících výrazně kvalitu života.
Navíc se svým selektivním mechanismem, který cílí na hlavní patogeny přímo v místě infekce (ústní dutině), lze překonat chronické stavy a současně snížit systémové vedlejší účinky.
Klíčovým prvkem této strategie je enzym zvaný glutaminyl-peptid cyklotransferáza (QC) typu II, který je přítomen výlučně v patogenních bakteriích orálního biofilmu, přičemž hlavním katalyzátorem onemocnění je patogenická bakterie porphyromonas gingivalis.
„Paradentóza představuje zdravotní stav vysoké lékařské pomoci, pro který naopak v posledním desetiletí nebyla k dispozici žádná inovace.
Tato investice tedy nejenže podporuje dlouho opomíjený segment terapeutického trhu v dentální sféře, ale hlavně obnovuje důvěru pacientů,“ říká Pierre Tangermann, jednatel firmy PerioTrap.

Vše je pod dohledem
V důsledku celoevropského projektu pod záštitou Rámcového programu Evropské unie pro výzkum a technický rozvoj je PerioTrap založen na mezinárodní síti a vynikající vědě, která sdružuje vědecké špičkové vědecké týmy napříč Evropou.
Na výzkumu spolupracují Mikrobiologický ústavu při Jagellonské univerzitě v Krakově, Institut parodontologie na Fakultě zubního lékařství Univerzity v Bernu a Farmaceutická technologická výzkumná skupina při Farmaceutickém ústavu německé Univerzity Martina Luthera.
Vědecká síť ale není ve své finální podobě, projekt je dále rozšiřován dalšími vědeckými instituty.
O i&i Prague
Biotechnologický inkubátor i&i Prague se zaměřuje na vyhledávání a podporu technologií vyvinutých v ČR a okolních státech.
i&i Prague se především věnuje inovacím v oblasti vývoje léčiv, diagnostiky a lékařských prostředků, pocházejících z akademických institucí. Společnost podporuje vytváření spin-off společností a investice do nich, a to v tzv. pre-seed nebo seed fázi. Dosud společnost podpořila více než 10 spin-off společností ze 4 zemí.

O PerioTrap
PerioTrap se zabývá vývojem inovativního protiinfekčního léčiva na léčbu paradentózy, zánětlivého onemocnění dásní způsobeného specifickými bakteriemi.
Ačkoli se jedná o běžnou indikaci spojenou s řadou komorbidit, které se v současné době týkají přibližně 30 % světové populace, na trhu zatím neexistuje účinná léčba.
PerioTrap vyvíjí lokálně aplikované léky s malou molekulou, které se zaměřují na nový cíl, jenž je přítomen pouze v patogenních bakteriích. Patogeny v biologické flóře zubní kapsy budou tedy selektivně odstraněny bez ovlivnění ochranného biofilmu.
Cílem PerioTrap je proto vymýtit kořen nemoci a nakonec obnovit důvěru pacientů.