Plíce, párový orgán v naší hrudi, nám umožňují dýchání, tedy výměnu plynů v našem těle. Jaké choroby mohou plíce postihnout?
Astma
Příznaky: sípání, dušnost svírání na hrudi, kašel s těžko vykašlatelným hlenem
Kolik lidí na světě jím trpí: každý třináctý člověk, tj. asi 600 milionů lidí
Prevence: časný kontakt s domácími zvířaty, odstranění alergenů z domácnosti (u rozvinuté choroby)
Délka léčby: celoživotní, někdy dětské astma po 10. roce vymizí
Astma je poměrně běžným chronickým onemocněním dýchacích cest. Znali jej už ve starověkém Egyptě a Řecku. Projevuje se epizodami sípání, dušnosti, svírání na hrudi a kašlem.
Nejpravděpodobněji je astma způsobeno kombinací genetických faktorů s vlivy životního prostředí (alergeny, znečištění vzduchu, zakouřené prostředí).
V souvislosti s rostoucím výskytem astmatu u dětí se hovoří rovněž o nežádoucím vlivu příliš čistých domácností na rozvoj nemoci.

Lék zatím neexistuje!
Astma je výsledkem chronického zánětu dýchacích cest, v jehož důsledku dochází k jejich zužování a tím k rozvoji sípání. K záchvatům dochází v noci. Astmatem trpí až 10 % dětí a 5 % dospělých, častěji ženy.
Na nemoc zatím neexistuje lék, který by ji vyléčil, ovšem pomocí inhalačních bronchodilatátorů nebo kortikosteroidů lze projevy astmatu výrazně eliminovat.
Zápal plic
Příznaky: kašel, bolest na prsou, horečka a obtíže při dýchání
Kolik lidí na světě jím trpí: 450 milionů osob ročně, tj. 7 % světové populace, 4 miliony pak na následky nemoci zemřou
Prevence: očkování, přestat kouřit, snížit znečištění vzduchu v interiéru, dodržování hygienických opatření při nemoci (kýchání do rukávu, mytí rukou, nošení roušky)
Délka léčby: rentgen plic bývá čistý asi po měsíci, u starších osob až po 12 týdnech
Zápal plic je běžným onemocněním, které se vyskytuje ve všech částech světa. Stojí za 7 % celosvětového počtu úmrtí za rok. Příznaky choroby popsal už antický lékař Hippokrates (460–370 př. n.l.).
Nejběžněji stojí za zápalem plic bakterie (50 % případů), ve třetině případů viry, vzácněji plísně a paraziti. Před objevem penicilínu a dalších dosahovala úmrtnost na zápal plic až 30 %.

Bolest při nádechu a zvýšená frekvence dechu
Projevuje se kašlem, horečkou, zimnicí, dušností, zvýšenou dechovou frekvencí a ostrou až bodavou bolestí na prsou při hlubokém nádechu. Část plic se postupně zaplní tekutinou, a tak dojde k zablokování volného přístupu kyslíku do krve.
Nemoc se potvrzuje rentgenem plic. Při mírném průběhu je léčena doma, při závažných komplikacích musí člověk do nemocnice.
Tuberkulóza
Příznaky: bolest hrudi, vykašlávání krve, kašel trvající déle než tři týdny, horečka, třesavka, noční pocení, ztráta chuti k jídlu i tělesné hmotnosti, bledost, únava
Kolik lidí na světě jí trpí: 10 milionů nově nakažených v roce 2018, přičemž 1,5 milionu na chorobu v tomto roce zemřelo
Prevence: identifikace a léčba nakažených, očkování dětí (u nás mezi roky 1953 až 2010, nyní jen u rizikových skupin).
Délka léčby: 6 až 24 měsíců
Tuberkulóza neboli souchotiny či „oubytě“ je nemoc známá už od pravěku. V 19. století patřila mezi nejběžnější příčiny úmrtí. Za vznikem onemocnění stojí bakterie M. tuberculosis, která napadá především plíce.
Šíří se vzdušnou cestou či skrz poranění kůže, inkubační doba je až 8 týdnů. Bakterie se dostanou do plicních sklípků, kde se rozmnoží. Dále proniknou do mízních uzlin a přes krevní oběh do dalších orgánů.

Kašlete krev? Máte tuberkulózu!
Tuberkulóza se projevuje chronickým kašlem s krvavým hlenem, horečkou a nočním pocením. Bez léčby je nemoc smrtelná v 50 % případů. Léčení je náročné a dlouhodobé, spočívá v podávání antibiotik, tzv. antituberkulotik, po dobu minimálně 6 až 9 měsíců.
Obvyklá je také latentní, bezpříznaková forma nemoci. Očkování proti TBC je možné pouze u dětí.
Chronická obstrukční plicní nemoc
Příznaky: chronický kašel, vykašlávání hlenu, dušnost, snížení tolerance fyzické námahy, únava, svalová atrofie, podvýživa
Kolik lidí na světě jí trpí: asi 600 milionů lidí celosvětově, u nás asi 300 000 lidí, 3500 z nich na nemoc každoročně zemře
Prevence: zanechání kouření, včetně pasivního, používání ochranných pomůcek snižující množství vdechovaných prašných částic, očkování proti chřipce a pneumokokům
Délka léčby: doživotní
Chronická obstrukční plicní nemoc (CHOPN) je aktuálně na vzestupu. Přitom lidé mají tendenci ji podceňovat a přicházejí k lékaři pozdě. V 80 % případů za vznikem CHOPN stojí kouření, a to i pasivní.
Nemoc představuje kombinaci zánětu průdušek a rozedmy plic (rozšíření dýchacích cest a úbytek plicní tkáně). Bývá obvykle odhalena pomocí spirometrie, kdy se testuje schopnost pacientových plic nadechnout a vydechnout, či rentgenu plic.

Choroba kuřáků
Ač ji nelze vyléčit, pokud je odhalena včas, je možné její příznaky významně potlačit. Prvním krokem je samozřejmě ukončení kouření včetně pasivního. K léčbě se užívají bronchodilatátory, které zvětšují průsvit průdušek, a dále léky k usnadnění vykašlávání.
Nemoc má čtyři stupně, při pokročilejších nálezech pak musejí být pacienti připojeni na kyslíkový přístroj.
Sarkoidóza plic
Příznaky: horečka, bolest v krku, svalů, otoky kotníků, vyrážka, suchý kašel, dušnost, únava, ztráta váhy, bolest za hrudní kostí
Kolik lidí na světě jí trpí: 1,3 milionu, u nás 8 500 nemocných, každý rok přibude 800 nových případů
Prevence: není známá
Délka léčby: půl roku
Sarkoidóza je autoimunitní onemocnění nejasného původu. Má se za to, že na jeho počátku stojí infekce zatím neznámým mikroorganismem. Infekce vyvolá chybnou reakci imunitního systému, který spustí projevy zánětlivého onemocnění.
V postižených tkáních, kterými jsou nejběžněji plíce, se hromadí zánětlivé buňky, z nichž vznikají tzv. granulomy. V nich probíhají další procesy, které vedou k degeneraci plicní tkáně a rozvoji sarkoidózy.

Příznaky jako chřipka
Plicní sarkoidóza se nejprve projeví zvětšením plicních hlubokých mízních uzlin. Když narostou, utlačí plíce a postižený člověk tak začne být dušný a má suchý kašel. Pak se proces přesune do plic a projeví se příznaky podobnými chřipce, a otoky kotníků.
Nemoc více postihuje ženy, spíše nekuřáky než kuřáky a nejčastěji lidi ve věku 30–50 let. Děti vzácně. 80 % pacientů se vyléčí spontánně, jen třetina potřebuje léčbu glukokortikoidy, látkami tlumícími imunitní systém. Ta trvá alespoň půl roku. Úmrtnost je méně než 5 %.
Plicní fibróza
Příznaky: dušnost, zejména při námaze, chronický suchý kašel, únava a slabost, bolest na hrudi, ztráta chuti k jídlu a rychlé hubnutí
Kolik lidí na světě jí trpí: 1 milion, u nás 2000 postižených
Prevence: skoncování s kouřením, ochrana před znečišťujícími látkami z ovzduší
Délka léčby: doživotní
Idiopatická (tj. bez známých příčin) plicní fibróza je onemocnění dýchacích cest, při kterém vznikají jizvy v plicní tkáni, což vede k problémům s dýcháním, protože má postižený nižší koncentraci kyslíku v krvi. Pacienti tak trpí trvalou dušností.
Ti neléčení pak umírají do pěti let od propuknutí choroby. Proto je zásadní vyhledat lékaře co nejdříve a zahájit léčbu včas. Nemoc se projevuje zhoršující se dušností při námaze, chronickým suchým kašlem a bolestí na hrudi.

Prsty prozradí problémy s dýcháním
Při poslechu plic se ozývá praskání podobné rozepínání suchého zipu nebo chůzi po zmrzlém sněhu, tzv. krepitus. Diagnózu potvrdí biopsie plic (odebrání kousku tkáně). Postižení mají rovněž paličkovité prsty s nehty ve tvaru hodinového sklíčka.
Pacienti zadýchávání často přisuzují zhoršené kondici, a tak lékaře vyhledají až pozdě. S moderní léčbou jí přitom mohou vzdorovat roky a dočkat se i transplantace plic.
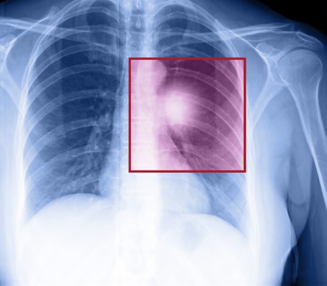
Rakovina plic
Příznaky: kašel včetně vykašlávání krve, úbytek váhy, dechová nedostatečnost, únava, bolest na prsou a další
Kolik lidí na světě jí trpí: přes 2 miliony lidí si každý rok nově vyslechne tuto diagnózu a asi 1,8 milionu na ní zemře, u nás je ročně diagnostikováno asi 7 tisíc lidí
Prevence: skoncování s kouřením (po 10 letech bez cigarety se riziko karcinomu snižuje na polovinu, screening)
Délka léčby: závisí na pokročilosti nálezu
Karcinom plic bývá druhou nejčastější příčinou smrti mužů a žen při úmrtí na nádorové onemocnění. K rozvoji onemocnění dochází v 80 až 90 % případů u kuřáků.
Rozlišuje se malobuněčný karcinom a nemalobuněčný karcinom plic, přičemž na každý z nich zabírá jiná léčba. Pokud není karcinom léčen, šíří se v podobě metastáz do dalších tkání a orgánů.

Malá šance na záchranu
Diagnóza se stanovuje na základě příznaků, potvrzuje ji rentgen hrudníku, biopsie nebo CT vyšetření. Nemalobuněčné karcinomy jsou odstraňovány chirurgicky, kdežto malobuněčné lépe reagují na chemoterapii a radioterapii.
Bohužel prognóza je u nemoci obecně špatná, navíc bývá většinou zachycena až v pokročilé fázi. U nemalobuněčného karcinomu je šance na přežití po pěti letech 70 %, u malobuněčného jen 5 %.