Velkým množstvím chorob strádají stejně muži i ženy, některé však postihují podle lékařských statistik mnohem častěji jen jedno pohlaví. Kdo je tedy zdravější? Muž, nebo žena?
Podle vědců z Washington State University mají muži a ženy rozdílné mechanismy, které jim pomáhají vyrovnávat se s nemocí a zvládat zdravotní komplikace.
Tak například ojedinělý symptom a zdravotní komplikace (například pouhá rýma nebo bolest jedné konkrétní části těla) obtěžuje víc ženy než muže, ale když se jedná o více symptomů najednou (například chřipku nebo virózu), ženy jsou v tomto případě odolnější než silnější pohlaví.

Přátelská žena je méně nemocná
U žen se také do zvládání nemoci více zapojuje osobnost, kdežto muži mají obecně sklon reagovat podobně. K tomuto závěru dospěli vědci z Department of Economic sciences, kteří v dlouhém časovém období analyzovali, jak zvládají nemoci muži a ženy.
Jejich vzorek čítal téměř 3000 respondentů. Při výzkumu se ukázalo, že ty ženy, které mají spoustu přátel, sociálních kontaktů a kvalitní partnerský vztah, dokážou zvládat nemoci lépe než ostatní. Oproti tomu u mužů se žádné takové rozdíly neprojevily.

Za co můžou hormony
I když jsou muži často označováni za silnější pohlaví, při setkání s chorobami to rozhodně neplatí.
Ženy muže celosvětově přežívají o šest let, velký podíl na tom však mají ženské pohlavní hormony, které jejich tělo chrání třeba před nemocemi srdce až do menopauzy. Proto lze určit, kterými chorobami onemocní spíše ženy a jakými pravděpodobněji muži. Co tedy komu hrozí?
ŽENY
Migréna
Muži na záchvaty migrény skoro netrpí, zato ženy tímto nepříjemným bolením hlavy trpí 3x častěji. K migréně může vést klesající hladina estrogenu během menstruace či menopauzy.

O co jde:
Migréna se projevuje pulzující bolestí v jedné polovině hlavy, nejvíce v oblasti čela, oka nebo spánku. Záchvat bolesti trvá obvykle 4 hodiny až 3 dny a je doprovázen nesnášenlivostí světla, hluku nebo pachů a někdy i nevolností, či přímo zvracením.
Alzheimerova choroba
Ženy jsou touto zákeřnou chorobou ohroženy o trochu více než muži. Může za to nedostatek estrogenu po menopauze.

O co jde:
Onemocnění mozku, které se projevuje ztrátou nervových buněk v některých částech mozku. Jedná se o nejčastější typ demence u osob starších 65 let.
K prvním příznakům patří poruchy paměti, postupně se přidává poškození kognitivních a intelektuálních, ale i fyzických schopností.
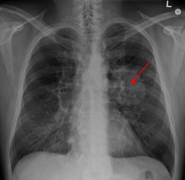
Rakovina plic
Rakovina je strašákem současnosti a můžeme-li věřit předpovědím odborníků, bude ještě hůř. Už nyní umírá na světě v důsledku této nemoci jeden člověk každých pět vteřin, celkem na ni ročně zemře 8 milionů lidí a u 14 milionů je každý rok nově diagnostikována.
U mužů výskyt mírně klesá, u žen roste (podle dat za rok 1977 až 2016 klesl roční výskyt onemocnění u mužů o 9,9 %, u žen vzrostl o 32,8 %).

Záněty močového měchýře
Postihují častěji ženy kvůli odlišné anatomii močového ústrojí. Ženy mají kratší močovou trubici, která navíc ústí blízko konečníku.
A právě z něj se mohou bakterie přes hráz snadno dostat do močové trubice a z ní rychle a snadno do močového měchýře, kde se pomnoží a vznikne zánět.

O co jde:
Nepříjemné infekční onemocnění močového měchýře, močové trubice nebo močových cest. Infekce močových cest může probíhat v různých intenzitách – od nenápadného zánětu, který nepřináší větší problémy, až po nebezpečný bakteriální zánět ohrožující ledviny.
Náchylné k onemocnění jsou především ženy v těhotenství, kdy se močový měchýř stlačovaný plodem nemůže dobře vyprazdňovat, a lidé s cukrovkou, jejichž moč obsahuje velké množství cukru, který bakteriím prospívá.
Osteoporóza (řídnutí kostí)
Vyšší riziko hrozí především ženám po menopauze, u kterých se snižuje produkce ženského pohlavního hormonu estrogenu, a jeho ochranný vliv na kosti se tak postupně vytrácí. Z tohoto důvodu dochází k častým zlomeninám, na které si stěžuje až 50 % žen.

O co jde:
Osteoporóza je chronické onemocnění, které se projevuje postupným řídnutím kostní tkáně a poruchami její struktury. Kosti se kvůli tomu ztenčují, jsou křehčí a také náchylnější ke zlomeninám.
Nemoc může zpočátku působit velice nenápadně, později se však často dostaví silné bolesti zad, dojde ke ztrátě tělesné výšky, snížené pohyblivosti páteře nebo vytvoření hrbu.
Roztroušená skleróza
V Česku je asi 20 000 pacientů s roztroušenou sklerózou, více než 70 % z nich jsou ženy. Nemoc se u nich projevila v průměru již v 31 letech. Příčina tohoto chronického zánětlivého onemocnění centrálního nervového systému zatím nebyla odhalena.

O co jde:
Chronické onemocnění, při kterém vlastní imunitní systém napadá ochranný obal nervových vláken centrálního nervového systému a ovlivňuje schopnost nervových buněk v mozku a míše spolu vzájemně komunikovat.
Typickým příznakem je střídání záchvatů a období zdánlivého klidu. Rizikovými faktory jsou kromě genetické dispozice také kouření a nedostatek vitamínu D.
Úzkostné poruchy a deprese
U žen je dvakrát pravděpodobnější, že se u nich vyskytne deprese. Ženy a muži totiž reagují zcela odlišně na události ve svém životě. Ženy jsou náchylnější ke stresu, což může zvýšit jejich úzkost.
U žen, které čelí životním stresorům, je pravděpodobnější, že je zlomí a srazí na kolena, což může zvýšit jejich úzkost. Muži jsou aktivnější v boji proti strachu a nejistotě.

O co jde:
Deprese je závažná, dlouhotrvající porucha psychiky, která se projevuje snížením až vymizením schopnosti prožívat potěšení, pokleslými náladami jedince a patologickým smutkem. Úzkostné poruchy se řadí k neurotickým poruchám.
Zahrnují fobie a několik forem nadměrné úzkosti a strachu, které nastupují náhle a brání vykonávání běžných denních činností.
Rakovina prsu
Karcinom prsu je zhoubné nádorové onemocnění prsu, které postihuje v naprosté většině případů ženy. Muži tvoří zhruba 1 % postižených. K většině onemocnění dochází po 60. roce věku.

O co jde:
Lékaři u nás každý rok diagnostikují 6000 nových případů, více než 2000 pacientek pak na toto onemocnění zemře. Nádor prsu se vytváří z abnormálních rakovinných buněk, které ztratily svou původní funkci a vymkly se kontrole. Může se také šířit do okolních uzlin a vytvářet metastázy.
Poruchy příjmu potravy
Uvádí se, že na 10 nemocných dívek nebo žen připadá 1 muž. Poněkud vyšší je procento mužů v případě záchvatovitého přejídání, ale přesto u poruch příjmu potravy převažují mezi postiženými ženy.
Hlavním důvodem je, že společnost nikdy nepřikládala velký význam tomu, kolik muži váží.

O co jde:
Jedná se o okruh onemocnění, kam patří mentální anorexie, mentální bulimie a také přejídání, spojené s jinými psychickými poruchami, například se stresem.
U poruch příjmu potravy jsou typické obavy z tloušťky, vyzvracení přijaté potravy a zkreslené vnímání vlastního těla.
Onemocnění štítné žlázy
Zdravotními problémy spojenými s poruchami štítné žlázy trpí přibližně 200 milionů lidí na celém světě, přičemž ženy 8–10x častěji než muži. Pro sníženou funkci štítné žlázy je typický nedostatek hormonů.
Tato porucha je nejčastěji diagnostikována u žen ve věku 40–50 let. Naopak zvýšená funkce štítné žlázy je nejběžnější u žen mezi 20–40 lety.

O co jde:
Snížená funkce štítné žlázy (tzv. hypotyreóza), nebo naopak zvýšená (hypertyreóza) postihne v průběhu života až 10 % populace. Polovina lidí ale podceňuje příznaky a nemoc neléčí.
Kromě nedostatku či nadměrného přísunu jódu ovlivňuje funkci štítné žlázy i dědičnost nebo stres. Průběh a prognóza některých poruch jsou přitom výrazně horší u kuřáků.
MUŽI
Onemocnění srdce a cév
Riziko srdečně-cévních onemocnění je vyšší u mužů a ve vyšším věku. Na vině je podle odborníků opět to, že muži více holdují alkoholu, kouří a žijí nezdravým životním stylem.

O co jde:
Vzhledem k tomu, že tato onemocnění jsou v raných fázích bez zjevných příznaků, jednoduše nebolí, jsou veřejnosti více známy až závažné stavy jako např. angina pectoris nebo srdeční infarkt.
Jejich vznik a vývoj lze u mnoha pacientů výrazně ovlivnit změnou životosprávy a omezením rizikových faktorů. Mezi tyto choroby patří ischemická choroba srdeční (angina pectoris, srdeční infarkt), mozková mrtvice nebo ischemická choroba dolních končetin
Cirhóza jater
Nejspolehlivějším a nejběžnějším způsobem, jak si pořídit cirhózu jater, je vytrvalá konzumace alkoholu, proto postihuje častěji muže.
Množství alkoholu, které při každodenní konzumaci představuje významné riziko rozvojem jaterní cirhózy, je asi 50 g alkoholu/den pro muže a 20 g alkoholu/den u ženy. Což je jeden půllitr piva na den.
Individuální snášenlivost alkoholu je samozřejmě do značné míry vrozená. Jedna třetina jaterních cirhóz vzniká jako následek chronického zánětu – žloutenky typu B a C.

O co jde:
Nemoc známá jako „tvrdnutí jater“. Jaterní tkáň se pomalu mění na tuhou, nepotřebnou jizevnatou hmotu. Celý proces probíhá dlouho nepozorovaně.
Játra nebolí, pracují méně, ale při běžných denních činnostech nás zprvu tato lehká nedostatečnost nijak výrazně neomezuje. Možnosti léčby cirhózy jsou velmi omezené. Základem je okamžitě zastavit působení faktorů poškozujících vaše játra.
V případě alkoholu to předpokládá úplnou abstinenci, v případě hepatitid odpovídající léčbu. Jediným způsobem, jak nahradit funkci postižených jater, je v současnosti jejich transplantace.
Závislost na alkoholu
Muži tvoří 2/3 českých alkoholiků, ačkoli u žen vzniká závislost na alkoholu dvakrát rychleji než u mužů. Na vině je opět to, že muži více žijí nezdravým životním stylem.

O co jde:
Alkoholismus (závislost na alkoholu) je chronické recidivující onemocnění, které ničí nejen celou osobnost postiženého člověka po stránce psychické a fyzické, ale i jeho blízké, zvláště pak rodinné příslušníky.
Patří mezi nejzávažnější a nejrozšířenější formy závislosti.
Dna (lidově také nemoc králů či pakostnice)
I tato nemoc postihuje častěji muže, hlavně obézní jedince. Úzce totiž souvisí se stravováním a významně k ní přispívá nadměrná konzumace masa, alkoholu a dalších potravin s vysokým obsahem purinů.

O co jde:
Dna je porucha metabolického systému organismu, která se projevuje extrémně bolestivým zánětlivým onemocněním kloubů. Bolest způsobuje navrstvení krystalků kyseliny močové, které jsou ostré jako jehličky. Kyselina močová vzniká při zpracování purinů.
HIV / AIDS
Jen v Česku od poloviny 80. let diagnostikovali lékaři virus HIV u více než 4000 lidí, z toho 80 % pacientů tvoří muži. Často to jsou homosexuálové, protože nechráněný anální sex zvyšuje riziko nákazy.
Podle údajů z června 2019 dosud propuklo u 653 pacientů v ČR onemocnění AIDS a tomuto onemocnění podlehlo 307 lidí, z toho bylo 250 mužů a 57 žen.

O co jde:
Virus HIV způsobuje ztrátu obranyschopnosti našeho těla. V organismu napadá zejména určitou skupinu bílých krvinek – T-lymfocyty, v nichž se množí. Může způsobovat nemoc AIDS (syndrom získaného selhání imunity).
Dochází pak k tomu, že odpověď imunitního systému na podnět (infekci, zhoubné bujení) přichází opožděně, infekce má čas se rozvinout, nádor rozrůst. Posléze se špatně fungující systém přetíží a nakonec zhroutí.
V posledních fázích dojde k extrémnímu vyčerpání organismu, který musí vyvinout nezměrné úsilí na zvládnutí i té sebemenší infekce.
Autismus
Vyskytuje se asi u 0,5 %populace a je čtyřikrát častější u chlapců než u dívek. Jen v Česku se každý rok narodí zhruba 200 dětí s autismem, v zemi tak odhadem žije 15 až 20 tisíc pacientů s tímto onemocněním. Příčinu autismu se zatím nepodařilo odhalit.

O co jde:
Autismus je vrozené duševní postižení projevující se stereotypními vzorci chování, narušenými sociálními vazbami a špatnou schopností komunikace.
Parkinsonova choroba
Nemoc postihuje převážně starší lidi, nevyhýbá se však ani třicátníkům či čtyřicátníkům. Postihuje častěji muže. Poměr nemocných mužů k ženám odhadují odborníci na 3 : 2.

O co jde:
Parkinsonova choroba je onemocnění centrální nervové soustavy, které přímo souvisí s úbytkem nervových buněk produkujících nervový přenašeč dopamin. To je látka, která zajišťuje přenos signálů mezi nervovými buňkami.
Jeho nedostatek způsobuje motorické problémy a ovlivňuje psychický stav pacienta. Přestože je to jedno z nejčastějších neurologických onemocnění, stále ho lékaři nedokážou vyléčit.