Chybějící zuby nebo jejich zčernalé zbytky a páchnoucí dech… Takové jsou běžné představy o stavu chrupu a dentální hygieně našich předků. Není to ale tak úplně pravda. Překvapivě mají v některých etapách dějin zuby v lepším stavu než my dnes.
Kaz ošetřují už v neolitu. Ale středověk děsí zubní červi!
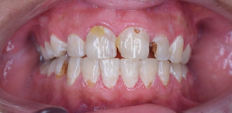
Zubní kaz je jedním z nejstarších onemocnění, která lidstvo zná. Provází nás nejméně deset tisíc let a po celou tu dobu si drží pověst nepříjemného, vytrvalého a bolestivého společníka.
Přesto bychom se mýlili, kdybychom si mysleli, že naši předkové na tom byli se zuby automaticky hůře než my dnes. Paradoxně existovala období, kdy lidé sice trpěli obroušenými zuby a záněty, ale klasický kaz byl pro ně téměř neznámým pojmem.
Jeho příběh je totiž vyprávěním o tom, jak dramaticky se změnil náš jídelníček a životní styl.

Zrození kazu v obilném poli
První rozsáhlé stopy zubního kazu se v historii objevují až ve chvíli, kdy se lidé začínají usazovat a přecházejí k zemědělství. Chrupy paleolitických lovců a sběračů byly totiž překvapivě zdravé.
Jejich strava postavená na masu, bobulích a ořeších byla chudá na cukry a škroby, které bakterie v ústech tolik milují. Jakmile se ale v jídelníčku objeví obiloviny a kašovitá jídla, situace se změní.
Zbytky lepkavé potravy začnou ulpívat na zubech, bakterie mají doslova hostinu a kaz se stane běžným problémem. Zubní zdraví se tak poprvé výrazně zhorší právě s „civilizačním pokrokem“, který lidstvu jinak přinesl stabilitu a jistotu obživy.
Starověké národy se s bolestmi zubů perou po svém. Mnohé národy melou obilí na kamenných mlýncích, ze kterých se do mouky uvolňují mikroskopické částečky kamene a písku. Tato „brusná pasta“ jim při žvýkání doslova likviduje sklovinu. Otevřené zubní dřeně vedou k masivním zánětům, které jsou nezřídka i smrtelné.

Tato procedura ze středověku by vás mohla zbavit strachu z dnešních zubařů.
Vrtačky z pazourku a zubní červi
Římané zase vsadí na chemii. Jako ústní vodu používají moč, kterou dokonce dovážejí až z daleké Hispánie (dnešní Pyrenejský poloostrov). Ač to zní odporně, má to svou logiku – amoniak v ní obsažený měl skutečně čisticí a bělící účinky.
A co když se problém přece jenom objevil? Archeologické nálezy šokují důkazy, že lidé už v neolitu používají primitivní vrtáky z pazourku.
Ve středověku se pak věda na tomto poli vytratí úplně a nastoupí bizarní pověra o „zubních červech“, kteří se prý zuby provrtávají skrz naskrz a způsobují bolest. Léčba je drastická. Pokud nepomohou bylinky, nastoupí lazebník.
Zub se jednoduše vytrhne kleštěmi, obvykle bez jakéhokoliv umrtvení, v lepším případě s pomocí silného alkoholu.

Bakterie, fluorid a moderní paradox
Zásadní zlom přichází až v 19. století, kdy věda konečně odhalí bakteriální podstatu kazu. Zuby přestanou být doménou mýtů a stanou se předmětem vědeckého zkoumání.
Ve 20. století pak situaci dramaticky změní fluoridace vody a zubních past společně s moderní stomatologií. Dnes žijeme v neuvěřitelném paradoxu: máme nejlepší hygienické možnosti v dějinách, ale zároveň konzumujeme rekordní množství cukru.
Zubní kaz tak zůstává starým nepřítelem v moderním kabátě, který nám neustále připomíná, že za každou civilizační vymoženost platíme daň.