Domů     Kardiostimulátor vznikl díky špatné součástce!
Kardiostimulátor vznikl díky špatné součástce!

„Zemřel mi další pacient,“ vzdychne v roce 1951 během oběda chirurg z americké Cornellovy univerzity (na severozápadě státu New York). „Srdeční blokáda?“ zeptá se jeho kolega a on odpoví kývnutím.

Není to bohužel nic neobvyklého, na srdeční blokádu umírá zhruba každý desátý operovaný pacient. Dojde k ní, když elektrický signál nedorazí k srdečním svalům kvůli poškozeným nervům.

Jejich hovor vyslechne inženýr Wilson Greatbatch (1919–2011). Problém mu připomene poruchy v rádiové komunikaci, s kterými si zvládne poradit. „Třeba bych dokázal vyřešit i tohle, kdybych měl vhodné nástroje,“ pomyslí si.

Jako tlukot srdce

V roce 1958 Greatbatch usilovně pracuje na sestavení oscilátoru pro měření vyšších tepových frekvencí. Aby mohl dokončit elektrický obvod, hmátne do krabice se součástkami pro rezistor.

„Tady něco nesedí,“ podiví se, když po zapojení do obvodu vydává přístroj pravidelný krátký pronikavý zvuk namísto očekávaného „kvílení“. „Vždyť… to zní jako tlukot lidského srdce!“ zvolá.

Vzápětí si uvědomí, že použil špatnou součástku – místo rezistoru o odporu deseti tisíc ohmů se přehmátl a aplikoval rezistor o odporu celého jednoho milionu ohmů.

Srdce psa ožije

O tři týdny později už Greatbatch nese svůj prototyp elektronického kardiostimulátoru do buffalské nemocnice. Tamější chirurg William C. Chardack jeho vynález implantuje do těla psa, jehož postihla srdeční blokáda.

Greatbatch s napětím pozoruje lékaře, jak na ležící zvíře napojuje dráty. Po chvíli začne psí srdce bít. „No to mě podrž,“ vydechne vynálezce.

Zachrání životy

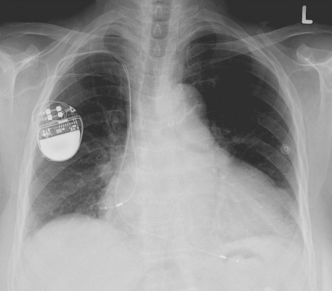
Už 15. dubna 1960 Chardackův lékařský tým voperuje kardiostimulátor deseti pacientům s úplnou srdeční blokádou. Bez něj by s padesátiprocentní šancí nepřežili ani rok.

První pacient zemře po 18 měsících, jinému ta malá zázračná kovová krabička prodlouží život o třicet let.

Foto: imgarcade.com, wikipedia.org
Související články
Věda a technika
Isaac Newton a tajemství alchymie. Génius fyziky tráví roky hledáním skrytých sil světa
Když se řekne Isaac Newton, většina lidí si představí gravitaci, padající jablko a základy moderní fyziky. Jenže slavný vědec skrývá ještě jednu tvář. Po nocích zavírá dveře své laboratoře, taví kovy, zapisuje šifrované poznámky a studuje staré hermetické texty. Alchymii věnuje obrovské množství času, možná stejně nebo dokonce více než fyzice. Žije v době, kdy […]
Věda a technika
Horský kozorožec: Rozený akrobat, který se nebojí pádu
Úzká skalní římsa, pod ní stovky metrů prázdna. Tam, kde by člověk neudělal ani krok, stojí kozorožec naprosto jistě. Bez zaváhání se pohybuje po strmých skalách a balancuje na výstupcích, které jsou sotva patrné. Jak je možné, že se nikdy nesplete? Pro svou jistotu má řadu dobrých důvodů! Kozorožci patří k nejpozoruhodnějším obyvatelům horských oblastí. […]
Věda a technika
Mořské hvězdice nemají mozek ani krev. Přesto brázdí oceány
Vypadají jako roztomilé mořské hvězdy z dětských knížek. Jenže hvězdice patří k nejpodivnějším tvorům oceánu. Nemají mozek, nemají krev, některé si dokážou znovu vypěstovat ztracené rameno a přežívají už stovky milionů let. Jak může fungovat živočich, kterému chybí orgány, bez nichž si my lidé život vůbec neumíme představit? Hvězdice skutečně nemají mozek. Místo něj používají […]
Věda a technika
Gutenbergův stroj způsobí revoluci. Vynálezce ale skončí v dluhové pasti
Evropa poloviny 15. století připomíná dobu, kdy jsou knihy luxusem dražším než dům. Mniši opisují texty ručně, jedna bible vzniká celé roky a vzdělání se schovává za zdmi klášterů. Pak ale přichází Johannes Gutenberg a spouští informační explozi, která převrací svět vzhůru nohama. Jeho knihtisk rozjede první mediální revoluci v dějinách. V německé Mohuči se […]
reklama
záhady a tajemství
Tajemná Houska: Je tu brána do pekel?
V letmé záři luny vklouzne do zemské prolákliny. Je srpnová noc roku 1836, chvíli po půlnoci. Oním muže je nadšený cestovatel po českých zříceninách, Karel Hynek Mácha. Vzápětí zpozoruje výjevy k nepochopení: Současnost!   Podle pověstí můžete najít ve skalní průrvě pod hradní kaplí Housky bránu do pekel! Už to udělá z hradu přestavěného na zámek ležící v […]
Zabil Tycha Braheho jed, nebo jeho vlastní zdvořilost?
Jedna z největších hvězd renesanční vědy náhle umírá po podivné hostině v Praze. Dánský astronom Tycho Brahe prý několik hodin nevstane od stolu, aby neurazil svého hostitele. Krátce nato přicházejí nesnesitelné bolesti a po jedenácti dnech agonie vědec umírá. Jenže kolem jeho smrti se po staletí šíří temné spekulace o otravě, tajných alchymistických pokusech i […]
Tajemství stromů: 5 symbolů košaté posvátnosti
Olše mohou být stromy i keře a vědce zarážejí úžasným obsahem látek, které bojují proti rakovině. A to není vše, některé druhy dokážou chránit játra a zkoumá se také pozitivní vliv v boji proti HIV. Olší si ale váží již naši prapředci. Jde o první stromy, které osidlují půdu po ustupujících ledovcích. Nevadí jim ani […]
Krásná Semiramis: Všude byla, všechno postavila… ale existovala?
Zoufale sleduje jeho krásnou tvář bez sebemenší známky života. Ona, královna Semiramis, se chtěla stát jeho ženou. Odmítl. Takový konec si ale nepředstavovala…   Podle řeckého historika Diodóra Sicilského (asi 90–27 př. n. l.) je Semiramis dcerou rybí bohyně Derketo, která se zamiluje do smrtelníka. Toho ovšem Derketo zabije a sama se vrhne do vln. […]
historie
Od obrázků až k milostnému dopisu: Písmo od A do Z
Obchodníci počítají na tržišti ve starověkém Uruku osly. Město, kterému vévodí třípatrový zikkurat, smrdí jako oslí zadnice. Jako milion oslích zadnic. A to obchodníka rozptyluje tak, že nedokáže pořádně spočítat, kolik toho prodává a kolik má dostat peněz. Kéž by si to mohl někam poznamenat… V pravěké jeskyni sedí lovec. Šaman kreslí mamuta na skalní stěnu, […]
Nevzdělaní velikáni: Edison je prý pomalý a hloupý!
Potřebujeme do života vzdělání? Anebo stačí jen talent, píle či trocha štěstí? Nejspíš jak u koho… Někteří čtou hory knih, jiní zkoušejí nejrůznější experimenty. A také dobře pozorují svět kolem sebe. Ti, kteří v tom byli nejvytrvalejší, se i bez škol dokázali zapsat do historie! Místo školy čištění bot? CHARLES DICKENS obor: literatura znalosti získá: […]
Poprava Ludvíka XVI.: Smrt s královskou důstojností
Být hlavou státu může být občas poněkud riskantní práce. I korunovaná hlava totiž může padnout k zemi. A někdy doslova, jak by mohly vyprávět pamětí mistrů popravčích. Na vlastní hlavu to zjistí například francouzský král Ludvík XVI. Revoluce ve Francii nabírá nebezpečně radikální směr. Ludvík XVI. (1754–1793), osvícený vládce, který reformoval zákony, rušil robotu a […]
Hajlování: Vynález antického Říma? Ne tak docela…
Auto pomalu projíždí ulicemi města. Vstane, narovná se a pozdraví. Nemusí nic říkat, stačí jen zvednout paži a všichni už ví. Rozvášněný dav mu oplácí stejnou mincí. Hajlování je zkrátka pevnou součástí nacistického režimu. To gesto zná snad každý. Postavit se vzpřímeně a zvednout pravici – správně zhruba do úhlu 135 stupňů. Má jít o […]
Nenechte si ujít další zajímavé články
Dulce: Dobrota, které neodoláte
panidomu.cz
Dulce: Dobrota, které neodoláte
Ta dobrota se jmenuje dulce de leche a možná už jste ji objevili v obchodech. Ale nepochybujte o tom, že doma připravená bude ještě lepší. Název je španělský a znamená jednoduše „mléčná sladkost“. Původ ovšem není úplně jednoznačný, o autorství této receptury se pře hned několik latinskoamerických zemí a k tomu Francie, kde se traduje,
Ferdinand I. zatrhl šizení na tržištích
historyplus.cz
Ferdinand I. zatrhl šizení na tržištích
„Prvotřídní kvalita, dovoz z Itálie,“ přesvědčuje kupec s látkami bohatou pražskou měšťanku. Žena pečlivě osahává štůček mušelínu. „Vezmu si pět loket,“ prohlásí. Kupec rychle naměří požadovanou délku. Pořádný kus mu přitom zůstane za prsty…   „Na šaty ho bude málo, milostpaní. Stačí jenom na sukni,“ zhodnotí švadlena množství růžového mušelínu. „Ošidili vás, podívejte.“ Vezme do ruky dřevěnou
Kouzlení s vodou z potoků a studánek
nejsemsama.cz
Kouzlení s vodou z potoků a studánek
Voda má v magii zvláštní místo. Má jedinečné vlastnosti, které pro vás mohou být nejen zdrojem osvěžení, ale i duchovní síly a léčení. Voda z potoků a studánek má moc přinést do vašeho života pozitivní změny a obnovit vaši energii. Využitím těchto přírodních zdrojů v magii můžete obohatit své rituály a přinést do svého života větší harmonii a klid. Je důležité
Ten můj chlap je prostě báječný
skutecnepribehy.cz
Ten můj chlap je prostě báječný
Jsem holka Štěstěny, tvrdila moje máma, když jsem doma představila Mirka. Mohla na něm oči nechat. To nadšení ji neopustilo nikdy. Myslím, že mi trochu záviděla, ale nikdy jsem jí to neřekla. Tátu měla ráda, ale co si pamatuji, tak jsme s Mirkem byli zamilovaní mnohem víc. Jsme spolu moc rádi Tehdy byla jiná doba, když
Září Svobodová díky nové lásce?
nasehvezdy.cz
Září Svobodová díky nové lásce?
Přestože jí osud připravil až příliš kruté momenty, nikdy nepřestala věřit, že bude znovu šťastná. Sympatická herečka ze seriálu Ulice Ilona Svobodová (64) se má už několik týdnů potkávat se stejně
Hříbková omáčka
tisicereceptu.cz
Hříbková omáčka
Královskou houbou českých lesů je pravý hřib. Suroviny 400 g houby 1 větší cibule 2 lžíce másla 200 ml šlehačky 100 ml zakysané smetana 1 bobkový list 5 kuliček nového koření petrželka ne
Krvavé maltské podzemí a tajemná Petra
enigmaplus.cz
Krvavé maltské podzemí a tajemná Petra
V oblasti Paola na předměstí hlavního města La Valetta na Maltě se v roce 1902 dostala skupina dělníků do problémů. S několika se při rozbíjení skal propadla zem. „Dostaňte nás odsud, něco tady je,“ z
Historické Boskovice: Procházka od hradu k zámku
epochanacestach.cz
Historické Boskovice: Procházka od hradu k zámku
Návštěvou jednoho města si snadno zajistíme program třeba na celý víkend. Boskovice totiž nabízejí hned dvě významné architektonické památky, vzdálené od sebe jen půl kilometru. A tak se vydejme za hradem i za zámkem do krásné jihomoravské krajiny. Trhová osada Boskovice na okraji Drahanské vrchoviny vznikla někdy ve13. století, a už v roce 1313 kronikáři zaznamenali
Pátrání po nacistickém zlatě: Je ukryté pod hladinou německého jezera?
epochalnisvet.cz
Pátrání po nacistickém zlatě: Je ukryté pod hladinou německého jezera?
Nad vodou se převalují chuchvalce mlhy, ze kterých se náhle vynoří siluety několika člunů. Mají velmi podivnou posádku. Dobře živení, po zuby ozbrojení muži v černých uniformách a na straně druhé: zubožená těla oblečená v chatrných vězeňských hadrech. Co tato přízračná scéna znamená?   Je jaro roku 1945, druhá světová válka se chýlí ke konci. Jezero Stolpsee
Stinná stránka rozvinutějších mozků: rychleji stárnou
21stoleti.cz
Stinná stránka rozvinutějších mozků: rychleji stárnou
Lidský mozek, více než jakýkoliv jiný orgán, odlišuje náš druh od ostatních. Během posledních přibližně sedmi milionů let se jeho velikost a složitost výrazně zvýšila, což nám umožnilo používat jazyk,
&Beyond: Nezapomenutelné safari napříč východní Afrikou pro romantiky i dobrodruhy
iluxus.cz
&Beyond: Nezapomenutelné safari napříč východní Afrikou pro romantiky i dobrodruhy
&Beyond, světově uznávaný lídr v oblasti luxusní ekoturistiky, představuje své rozmanité portfolio safari lodgů a kempů ve východní Africe. Jako lídr v oblasti zodpovědného cestovního ruchu organi
Dechberoucí „katedrála“ v oblacích
rezidenceonline.cz
Dechberoucí „katedrála“ v oblacích
Třípodlažní penthouse na vrcholu nejvyššího věžáku severně od 72. ulice v New Yorku „patřil“ jednomu z protagonistů populárního seriálu, mapujícího život milionářské rodiny Royových. Jakkoliv jsou jejich osudy fiktivní, nemovitosti, v nichž „žijí“, jsou velmi reálné. Ohromující luxusní byt s pěti ložnicemi, čtyřmi koupelnami a výhledem na Husdon Yards je přitom jenom jednou z nemovitostí
Provozovatel: RF HOBBY, s. r. o., Bohdalecká 6/1420, 101 00 Praha 10, IČO: 26155672, tel.: 420 281 090 611, e-mail: sekretariat@rf-hobby.cz