Čeští vědci otestovali novou „dvojitou protilátku“, která velmi účinně chrání před koronavirem SARS-CoV-2 a všemi jeho testovanými variantami. Zároveň také zabraňuje viru, aby mutoval a stával se rezistentní vůči léčbě.
Protilátku vyvinuli švýcarští vědci z biomedicínského výzkumného ústavu v Bellinzoně (Institute for Research in Biomedicine, IRB), jejich čeští kolegové z Biologického centra AV ČR a Českého centra pro fenogenomiku v centru BIOCEV ověřovali účinnost protilátky v preklinické studii.

Přímo od pacientů
Pro vývoj nové účinné látky vyšli švýcarští vědci z protilátek získaných od pacientů, kteří prodělali covid-19. Léčba založená na podávání protilátek je účinná, naráží však na dva hlavní problémy:
jednak musí protilátka zabírat proti právě se vyskytujícím variantám viru a jednak musí zabránit virovým mutacím, které by vedly k zvyšování odolnosti viru, podobně jako se to děje například u bakterií, které se stávají rezistentní vůči používaným antibiotikům.
„Problém jsme vyřešili spojením dvou přirozených protilátek do jedné molekuly zvané bispecifická protilátka, která cílí na dvě různá virová místa současně,“ řekl Luca Varani, vedoucí týmu ze švýcarského institutu IRB. Právě zacílení na dvě nezávislá místa ve struktuře viru představuje inovaci, která znemožňuje viru vyvíjet si rezistenci proti léčbě.
„I když virus může mutovat a vyhnout se tak útoku jedné protilátky, prokázali jsme, že nedokáže uniknout dvojitému působení naší bispecifické molekuly,“ vysvětlil Luca Varani.
Pomocí superpočítačových simulací pak vědci molekulu zdokonalili a vyrobili pro laboratorní testy preklinické studie.

Účinná látka
Ta se prováděla od listopadu 2020 v českobudějovických laboratořích Biologického centra AV ČR v podmínkách vysokého stupně zabezpečení BSL-3. Studie potvrdila, že bispecifická protilátka účinně zneškodňuje koronavirus SARS-CoV-2 i jeho varianty, včetně nedávné britské mutace.
Kombinovaná účinnost a celková charakteristika tak z nové protilátky činí ideálního kandidáta pro klinickou studii u lidí. Může nejen podpořit léčbu pacienta se slabou imunitní odpovědí, ale zároveň může fungovat jako prevence.
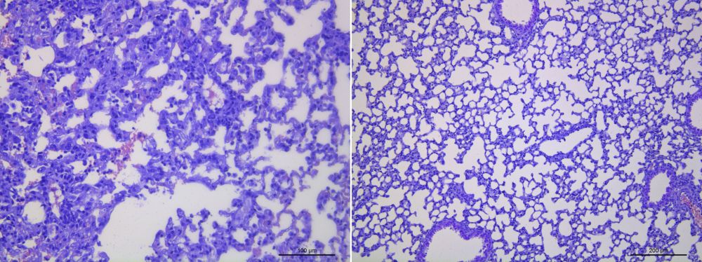
„Ve zvířecím modelu covid-19 poskytuje jediná injekce bispecifické protilátky okamžitou ochranu před onemocněním, která může trvat týdny nebo měsíce.
Protilátka účinně snižuje virovou zátěž v plicích a zmírňuje zánět,“ potvrdil Daniel Růžek z Biologického centra AV ČR a Výzkumného ústavu veterinárního lékařství, který vedl preklinické testování protilátek na zvířatech.
S myší pomocí
Myší model senzitivní pro infekci SARS-CoV-2 připravili vědci v Českém Centru pro Fenogenomiku, výzkumné infrastruktuře v centru BIOCEV, po diskuzi s virology, kteří nemohli žádný vhodný model najít.
Běžnou laboratorní myš totiž nelze na výzkum koronaviru použít, protože je k nemoci poměrně rezistentní.
„Námi vyvinutý myší model je poměrně unikátní i ekonomický a velmi dobře reprezentuje těžké případy nemoci, které pozorujeme u člověka, jako např. zánětlivé odpovědi v plicích a podobně,“ uvedl Radislav Sedláček, vedoucí Českého centra pro fenogenomiku (Ústav molekulární genetiky AV ČR v centru BIOCEV).

Na preklinické studii se rovněž podílely Výzkumný ústav veterinárního lékařství v Brně, Ústav organické chemie a biochemie v Praze a Vojenský zdravotní ústav v Těchoníně.
Úspěchy českých vědců na poli výzkumu koronaviru a jejich okamžité efektivní zapojení do boje proti pandemii dokazují, že české know-how skýtá slibný potenciál.
V České republice je však virologický výzkum roztříštěný do menších laboratoří na několika institucích a dosud chybí vhodná infrastruktura na národní úrovni, která by jej sjednotila a poskytla adekvátní základnu pro jeho další rozvoj.
Potřebný impuls by mohlo přinést zamýšlené Virologické centrum, pro nějž vyjednává Akademie věd ČR podporu na vládní úrovni.